Kada nekoga sretnete na ulici, Vi se pozdravite i osmehnete…., a taj osmeh puno govori o Vama.
Protetika je, prema definiciji, veština i umetnost. U KORONI se možemo pohvaliti izradom svih vrsta fiksnih i mobilnih zubnih nadoknada. U tome nam pomažu naši umetnici, zubni tehničari, sa kojima sarađujemo dugi niz godina.
U KORONI izrađujemo:
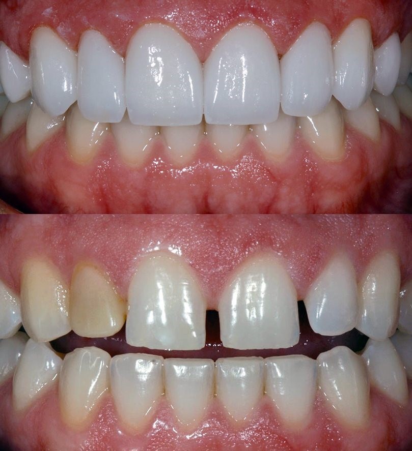
Bezmetalne krunice i mostove
Nadogradnja devitalizovanih zuba
Metalokeramičke krinice i mostove

Fasete (vinire), direktne i indirektne, keramičke i kompozitne
Inleje, onleje

Fiksne radove na implantatima

Kombinovane radove (krunice ili mostovi, za koje se zakopčava proteza)

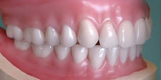
Totalne proteze

Parcijalne akrilatne proteze

Parcijalne skeletirane proteze (vizil)

Silikonske (fleksibilne) proteze

Mobilne radove na implantima, hibridne radove, “ALL ON 4”







